
1 / 4
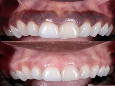
About Raj Dental surgery & implant clinic (since 2001)
Services & Features
General Consultation
Health Checkups
Vaccination
Chronic Disease Management
Prescription Services
Referral Services
Minor Procedures
Health Certificates
Frequently Asked Questions
Reviews
4.9862 reviews
5450
4300
3112
20
10
No reviews yet. Be the first!
Nearby Doctors
Chandan Nagar
Dr. Shraddha Talekar | General Physician | Sai Shraddha Clinic
visit kaamgar road, opp. Shani mandir, Chandan Nagar, Pune, Maharashtra 411014, India
Chandan Nagar4.4
Kalyani Hospital (कल्याणी हॉस्पिटल)
behind Hanuman Mandir, beside Hanuman Gym, Chandan Nagar, Pune, Maharashtra 411014, India
Chandan Nagar4.8
Dr.POKHARNA GENERAL CLINIC
Shivaji mah. Putala, 48/2, Sai Nagari, Chandan Nagar, Wadgaon Sheri, Pune, Maharashtra 411014, India
Chandan Nagar4.8
JEEWAN JYOT HOSPITAL, KHARADI | Multispeciality Hospital
Pathare - Thube Nagar, Chandan Nagar, Kharadi, Pune, Maharashtra 411014, India
Chandan Nagar5.0
Onkar Clinic | Day Care Center | Dr.Darekar
New, near shivaji maharaj staue, Bhaji Market, Chandan Nagar, Wadgaon Sheri, Pune, Maharashtra 411014, India
Chandan Nagar4.7
Dr Manoj Bhurat
Flat No 4, 1st, Rajkamal Complex, next to Garje Market, Bhaji Market, Chandan Nagar, Pune, Maharashtra 411014, India